Александра Брутер: Суставы из носа

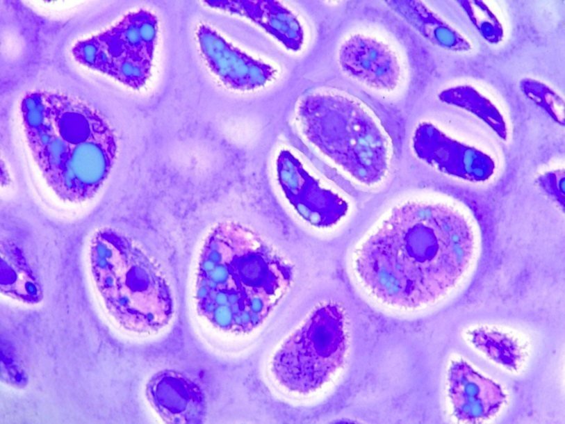
Хрящевая ткань с хондроцитами MedCell at Yale Новый метод клеточной терапии болезней суставов показал вызывающие оптимизм результаты на пилотной стадии клинических испытаний.
Гиалиновая хрящевая ткань выстилает внутреннюю поверхность суставов. Она должна снижать трение в суставе и амортизировать нагрузку. Ткань состоит из клеток хондроцитов. Хондроциты выделяют в суставную полость различные низкомолекулярные вещества, в том числе межклеточный матрикс, непосредственно снижающий трение в суставе и обладающий определенной механической жесткостью. Утрата хондроцитов из-за болезни (например, остеоартроза) приводит к воспалению и болезненности в суставе и без лечения заканчивается значительным снижением подвижности в пораженном суставе. Заболеваемость остеоартрозом значительно увеличивается с возрастом, в пожилом возрасте болеет около трети населения, болезнь сильно снижает качество жизни и может приводить к потере трудоспособности.
Хотя первые клинические испытания лечения поврежденного хряща с помощью траснплантации хондроцитов из неповрежденного хряща того же пациента прошли уже более 20 лет назад, существенных успехов до сих пор не достигнуто. Вероятнее всего, это связано с низкой способностью хондроцитов к делению. И вот теперь найден новый неожиданный источник хондроцитов с высокой способностью к делению. Они нашлись в носовой перегородке.
Дело в том, что у хондроцитов носовой перегородки и хондроцитов хряща совершенно разные судьбы во время развития организма.
После оплодотворения яйцеклетка начинает делиться. Сначала две клетки, потом четыре, потом восемь. На этой стадии все клетки еще совершенно одинаковые. Их даже можно механически разделить – тогда из них получится хоть восемь одинаковых эмбрионов, а затем восемь почти одинаковых взрослых организмов.
Потом клетки еще немного делятся, и образуется бластула – полый внутри шарик, поверхность которого состоит из всё еще примерно одинаковых клеток. Клетки бластулы – это еще эмбриональные стволовые клетки, они способны дифференцироваться в клетки любого типа. Когда ученые получают индуцированные плюрипотентные стволовые клетки – одним из доказательств успеха служит то, что при имплантации в бластулу такие клетки приживаются и участвуют в образовании нового организма наравне со всеми.
А вот дальше происходит гаструляция. Во время гаструляции клетки делятся на три зародышевых листка и приобретают уже свойства, характерные только для своего зародышевого листка. Если не перепрограммировать их специально, то сами по себе эти клетки могут превращаться уже в ограниченное число типов клеток. Из энтодермы образуется внутренний эпителиальный слой желудочно-кишечного тракта, печень и поджелудочная железа. Из мезодермы формируются мышцы, кровеносные сосуды, почки, а также костный и хрящевой скелет. Из нее же формируются хондроциты, живущие в суставах. А вот хондроциты носовой перегородки образуются из эктодермы. Как и нервная система, кожный эпителий, эпителий органов чувств, зубную эмаль и эпидермис.
Авторы работы обнаружили, что между хондроцитами носовой перегородки и хондроцитами из суставов есть принципиальная разница. Оказалось, что в хондроцитах суставов на значительном уровне синтезируются белки, кодируемые генами Hox. Гены Hox называются гомеозисными генами, из-за того, что мутации в них приводят к явлению, называемому гомеозисом. Гомеозис – это явление, при котором, например, конечности меняются местами или происходят еще какие-нибудь нарушения общего плана строения тела. Например, у дрозофилы мутации в гене Antennapedia приводят к тому, что ноги превращаются в антенны или на месте антенн вырастают ноги. Недавно был проведен эксперимент, в котором рыбам ввели гомеозисный ген мышей, отвечающий за развитие конечностей. В результате у рыб сформировались зачатки конечностей, пригодных для передвижения по суше. Гомеозисные гены выполняют очень важную функцию в организме: они отвечают за общий план строения всего тела. Поэтому они очень консервативны, по ходу эволюции увеличивается скорее их количество. Если заменить у мухи все ее гомеозисные гены на соответствующие гены курицы, развитие мухи проходит нормально.
Синтез белков, которые кодируют гомеозисные гены, свойствен полностью дифференцированным клеткам с невысоким пролиферативным потенциалом. И действительно, оказалось, что Hox-негативные хондроциты эктодермального происхождения обладают более высоким пролиферативным потенциалом, чем Hox-позитивные хондроциты мезодермального происхождения из суставов. Авторам работы удалось их размножить их в культуре и показать, что после имплантации в сустав в таких хондроцитах тоже начинается экспрессия генов Hox.
Хрящевая ткань сустава с имплантированными хондроцитами (K. Pelttari, B. Pippenger et al., Adult human neural crest–derived cells for articular cartilage repair. Sci. Transl. Med. 6, 251ra119 (2014).)
Доклинические испытания метода были проведены на козлах и показали неплохие результаты. В настоящий момент проходит пилотная стадия клинических испытаний. Испытания продолжаются 18 месяцев, в них участвует 7 пациентов.
Томограмма сустава до траснплантации хондроцитов и спустя четыре месяца (Pelttari, Pippenger et al. 2014)
Негативных побочных эффектов не обнаружено. Через четыре месяца после вмешательства на МРТ отмечались значимые улучшения. Авторы планируют опубликовать результаты испытаний в отдельной статье.
Смотрите также: Александра Брутер Иммунитет 500 миллионов лет назад Александра Брутер Как здоровый образ жизни замедляет старение клеток В Великобритании намерены разрешить донорство митохондрий На МКС вырастят стволовые клетки