Новую сталь для «оборонки» и авиации придумали уральские ученые
Ученые Южно-Уральского государственного университета работают над получением инновационного сверхлегкого и сверхпрочного типа стали — бейнита. Новый материал найдет применение в авиационной промышленности, машиностроении и оборонном производстве.

Cталь — это сплав железа и углерода, в зависимости от температуры, до которой нагревается железо, можно получать разные типы структуры стали. Существует низкотемпературная зона, при которой получают феррит, и высокотемпературная зона, при которой получают аустенит.
При температуре ниже 911°С аустенит переходит в более пластичную и мягкую фазу — феррит, возникающий при медленном охлаждении. В производстве структура феррита используется для механической обработки. При резком охлаждении аустенита образуется супертвердая фаза — мартенсит, сообщает пресс-служба ЮУрГУ.
Мартенсит — одновременно твердая и хрупкая структура. Ученые решили создать сталь, сохраняющую высокую твердость мартенсита и обладающую достаточной пластичностью, а, следовательно, большей прочностью. Основой исследований стал бейнит — структура стали, похожая на мартенсит. Она получается при добавлении никеля, хрома, марганца, кремния и других элементов. Сохраняя предельную прочность, бейнит отличается от мартенсита более высокой пластичностью. Однако пластичность бейнита не является предельной.

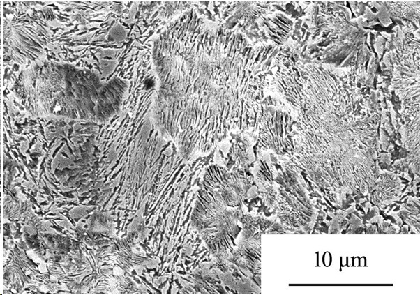
Структура бейнитной фазы Fe-Si-Mn-Cr-V стали под растровым электронным микроскопом
Ученые ЮУрГУ работают над получением бескарбидного бейнита, что позволит увеличить его ударную вязкость, так как частицы карбида являются концентраторами напряжений, стимулирующих разрушение.
Новая сталь станет прочнее на 15–30%. Она найдет применение как в оборонном производстве, так и в нефтедобывающей отрасли. Трубы, изготовленные из бескарбидного бейнита, будут не только обладать очень высокой ударной вязкостью, но и длительной прочностью в условиях арктического климата. В дальнейшем ученые займутся поиском оптимального состава новой стали, свойства которого зависят от того, в каких сферах производства материал будет использоваться.
Разработки ученых опубликованы в журнале Physics of Metals and Metallography.