Томские ученые впервые выделили бактерию, способную выжить в космосе
Микробиологи Томского госуниверситета (ТГУ) первыми в мире выделили из глубинных подземных вод бактерию Desulforudis audaxviator. В переводе с латыни ее название означает «смелый путешественник». Микроорганизм получает энергию в условиях полного отсутствия света и кислорода. Теоретически такой способ делает возможной жизнь в космосе.

«О существовании бактерии Desulforudis audaxviator, живущей глубоко под землей, стало известно более 10 лет назад, — рассказала завкафедрой физиологии растений и биотехнологий ТГУ Ольга Карначук. — Ее генетический след нашли американские ученые. Они обнаружили ДНК микроорганизма в шахтных водах золоторудного месторождения, находящегося в Южной Африке. Отбор проб производился на глубине от 1,5 до 3 километров, где нет ни света, ни кислорода. Еще не так давно считалось, что жизнь в этих условиях невозможна, поскольку без света нет фотосинтеза, лежащего в основе всех пищевых цепочек. Но оказалось, что данное предположение ошибочно».
Desulforudis audaxviator обитает под землей в полном одиночестве — кроме ее ДНК чужих следов в пробах не найдено. После публикации статьи американских исследователей в журнале Science ученые разных стран начали «охоту» на бактерию.
бактерию нашли в подземных водах термального источника, расположенного в Верхнекетском районе Томской области
ДНК бактерии обнаружили в пробах воды в Финляндии и в США, но «поймать» саму бактерию никому не удавалось. Одно из предположений, объясняющих это, заключалось в том, что бактерия делится раз в 1000 лет. Но микробиологи ТГУ смогли выделить Desulforudi saudaxviator. Ее нашли в подземных водах термального источника, расположенного в Верхнекетском районе Томской области. В поисках «странника» ученым помог наработанный ранее большой практический опыт по выделению сложных сульфатредуцирующих бактерий.
Ученым ТГУ удалось выделить бактерию и получить новые данные о ней. Стало известно, что бактерия делится не раз в 1000 лет, а раз в 28 часов, то есть практически ежедневно.
Кроме того, выяснилось, что Desulforudis audaxviator практически всеядна: в лаборатории микробиологов она «ела» сахар, спирт и многое другое. Однако, лучше всего, по словам исследователей, бактерия чувствует себя на «диете», то есть, привычно питаясь водородом, от которого получает больше всего энергии. Кислород, поначалу считавшийся губительным для подземного микроба, его не убивает.
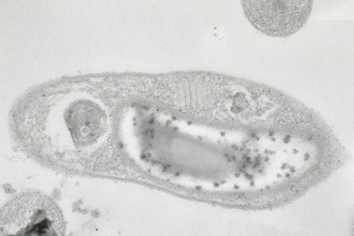
В-третьих, ученые выявили у «смелого путешественника» структуры, которые, видимо, и помогают ему странствовать по всему миру, — мельчайшие пузырьки — газовые вакуоли, похожие на плавательный пузырь рыб. Однако пути передвижения бактерии пока неизвестны. Подземные водоемы, в которых были найдены ДНК микроорганизма, геологически никогда не соприкасались. Пока гипотеза ученых заключается в том, что бактерия путешествует по воздуху, попадая с больших глубин в поверхностные открытые водоемы, и переносится с мелкими частицами аэрозоля.
кислород, поначалу считавшийся губительным для подземного микроба, его не убивает
Еще один удивительный факт — геном бактерии, найденной в Сибири, практически идентичен ДНК «путешественника» из Южной Африки.
«Так не должно быть, это загадка, которую мы пока не смоли разгадать, — отметила Ольга Карначук. — Дело в том, что мутации присутствуют всегда. Даже когда одну и ту же бактерию культивируют в лаборатории, со временем появляются отличия в ДНК. В данном случае их нет. Почему — непонятно. Ответ на этот вопрос связан с какими-то фундаментальными основами существования живых клеток, которые пока не изучены, поэтому объяснение этого генетического сходства — дело будущего, то, над чем ученым еще предстоит работать».
Результаты исследований, поддержанных РНФ, опубликованы в журнале ISME издательской группы Nature.