Original Material
Больных туберкулезом кузбассовцев заставили лечиться
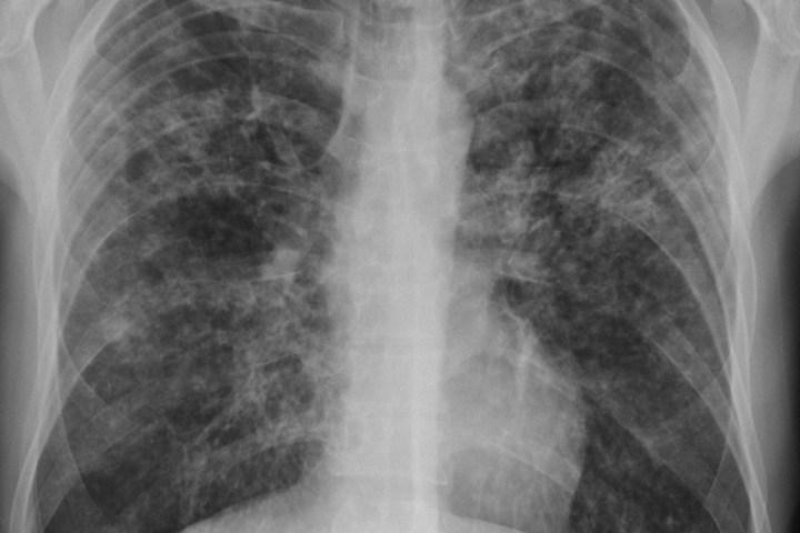
Четыре жителя Гурьевска с открытой формой туберкулеза уклонялись от лечения, подвергая опасности окружающих. Прокуратура направила в суд иск об их принудительной госпитализации.

Иск о принудительном лечении и госпитализации был подан Гурьевским межрайонным прокурором. Ведомство указывало, что без госпитализации эти люди могут заразить своих знакомых туберкулезом. Суд согласился с требованиями и удовлетворил исковые заявления, сообщает прокуратура Кемеровской области. Трое больных уже госпитализированы, одно заявление пока находится на исполнении у приставов.
По данным администрации Кемеровской области на 2018 года Кузбасс занимает второе место в СФО по количеству больных туберкулезом среди населения региона.
Елизавета Шаталова